Меню
Поиск лекарств и медуслуг
KZ
Избранное
Войти
Войти
Хирургическая стоматология в Алматы
Сообщить об ошибке
AQstom (АКстом)
О нас
Отзывы
254
Цены
Акции и новости
Видео
Услуги
Фотогалерея
Еще
Свернуть
Алматы, ул. Манаса, 55, угол Жандосова
Круглосуточно
254 отзыва
4.9
254 отзыва
4.9
Записаться
Телефоны
WhatsApp
маршрут
В избранное
вопрос
AQstom
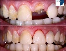
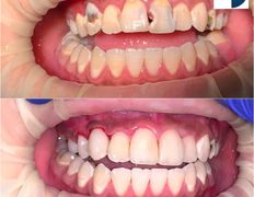
Наши работы
Наши услуги
Галерея
Этот сайт использует cookies
Что это значит?
Понятно